¿Alguna vez has sentido dolor al apoyar el talón en el suelo? ¿Un dolor punzante e intenso, como si estuvieras pisando una pequeña piedra o un clavo? Si la respuesta es sí, podrías padecer de espolones, también llamados exóstosis calcánea.
Se calcula que 1 de cada 4 personas padecen esta patología que suele verse causada por una fascitis plantar, lesión de la que ya hablamos con anterioridad, y que consiste en la inflamación de la fascia plantar, el tejido que une el talón con los dedos de los pies. Ya comentamos sobre la fascia plantar que aunque en un primer momento no llega a limitar la práctica deportiva, debía ser tratada lo antes posible o de lo contrario tendría efectos muy limitantes para el paciente, esto es el espolón.
Por este motivo, vamos a concretar qué son los espolones calcáneos, sus causas y sintomatología y cómo pueden prevenirse o tratarse.
CAUSAS DE ESPOLONES
Los espolones no son sino una calcificación que produce una excrecencia ósea puntiaguda sobre el calcáneo, la parte inferior del hueso del talón.
La principal causa de espolones es una fascitis plantar que se ha vuelto crónica, debido a un diagnóstico tardío o un tratamiento inadecuado. Esto es debido a que el organismo acumula calcio en las zonas dañadas para recuperar el tejido. No obstante, recordemos algunas de las causas de la fascitis plantar y, por consiguiente, de los espolones:
•
Edad
Sobrepeso u obesidad
•
Gestos deportivos excesivos o práctica deportiva intensa (especialmente correr, balonmano o baloncesto)
•
Usar un calzado inadecuado
•
Pies planos
•
Sobrecarga de los tendones
•
Pasar largos periodos parados
SÍNTOMAS
Como ya se ha comentado, el principal síntoma es el dolor en el talón y la sensación de pisar un clavo. Este dolor es más intenso con los primeros pasos de la mañana y, aunque se calma con reposo, vuelve a aparecer tras volver a apoyar el pie en el suelo o tras la actividad deportiva. Si el trabajo del paciente consiste en cargar peso, puede agravar el dolor.
DIAGNÓSTICO Y TRATAMIENTO
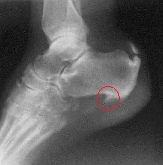
El espolón se puede diagnosticar con una radiografía lateral del calcáneo, donde se reconoce una protuberancia orientada hacia los dedos y que puede variar entre 1 y 5 mm. No obstante, sería recomendable realizar otras pruebas, como análisis de sangre, para descartar otras enfermedades como artritis reumatoide, espondilitis anquilosante o gota.
Al ser consecuencia, en la mayoría de casos, por una fascitis plantar, el tratamiento para espolones calcáneos plantares sueles pasar por:
Dejar de hacer o disminuir la práctica de actividad física
Terapia física: Que incluye la aplicación de calor, frío o incluso el tratamiento con ultrasonidos (para tratar de disolver las calcificaciones)
Medicamentos: Ya sea mediante la aplicación de vendajes con pomadas de cortisona, anestésicos locales o antiinflamatorios o por la infiltración de dichos medicamentos en la zona afectada
También se recomiendan el uso de taloneras con orificios o, mejor aún, de plantillas personalizadas que sirvan de apoyo y reduzcan la carga soportada por el arco del pie. La cirugía es otro posible tratamiento para los espolones, pero solo debe considerarse si tras unos meses ninguno de los tratamientos anteriores ha dado resultados.
PREVENCIÓN
Lo más relevante para prevenir los espolones es reducir el sobrepeso e incluir en la dieta alimentos que contengan magnesio, silicio y zinc, ya que mantienen sanos los músculos y los tendones. Por supuesto, la actividad deportiva es necesaria para controlar el peso pero se recomienda moderarla y calentar siempre antes de practicar ejercicio o deporte.
En el trabajo, lo mejor es alternar la postura intercalando entre sentados y de pie.
Finalmente el uso de un calzado adecuado así cómo diagnosticar posibles patologías al caminar o correr con un estudio de la pisada y tratarlas, si es necesario, con plantillas personalizadas, hará que el paciente pueda moverse sin sobrecargar la fascia plantar ni otros músculos o tendones de la zona.
En FISIOMANOS PERÚ hemos creado una metodología propia para el estudio de la pisada que permite ofrecerte los mejores tratamientos para todo tipo de patologías, recuperando así tu calidad de vida.
Tags: calcificación, espolones, estudio pisada, fascitis plantar, plantillas, talón, tratamiento.

